妊娠中の方へ
妊娠中の方へ

妊娠中の方へ Pregnant

なかの歯科・矯正歯科クリニックが妊娠中の
歯科治療についてご説明いたします。
気になること・不安なことがあれば、
お気軽にご相談ください。

Contents 01

妊娠中
くなりやすい理由

妊娠すると、虫歯や歯肉炎(歯周病)になりやすくなります。妊娠によるホルモンバランスの変化も原因のひとつですが、それよりも生活習慣の変化が大きく影響しています。
妊娠中は下記のような変化が起きやすいことを念頭に、意識してお口のケアをするようにしてください。もちろん、可能な限りで構いません。

  • ホルモン状態の変化で、歯肉の炎症が起きやすくなる
  • 飲食回数が増え、口の中が汚れやすくなる
  • 唾液がネバネバしやすくなるので、細菌が繁殖しやすい
  • つわりで動作が緩慢になるので、歯磨きが億劫に感じやすい

当院では、普段から3ヶ月から4ヶ月に1度の検診を受けるようおすすめしています。妊娠前から歯の健康診断を定期的に受けることが、安定した口腔衛生を得ることにつながります。
もし妊娠中に歯科治療を受ける必要がある場合は、安定期が一番適しています。歯が痛い、詰め物が取れたといった緊急を要する場合は、妊娠初期や後期でもご相談ください。

食事中の妊婦さんのイメージ
歯磨きをする女性のイメージ

Contents 02

妊娠中お口トラブル

妊娠中は、ホルモンバランスが変化することから、お口の中が虫歯になりやすい環境となります。さらに、つわりがひどいと歯磨きできず、プラークが溜まるために虫歯や歯周病といったトラブルも起きやすくなります。

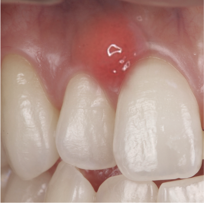
  • 妊娠性歯肉炎の症例写真

    妊娠性歯肉炎

    歯肉の腫れや赤み、出血する方は可能性が高いです。歯周病へと悪化すると早産リスクを高めるため、早めに医師に相談しましょう。

  • 妊娠中の不調を感じる女性のイメージ

    妊娠性歯痛

    虫歯がないのに歯が痛くなります。特に妊娠初期に多く見られ、ホルモンバランスの変化によって血液量が増えることで起こります。痛みは徐々に和らぎます。

  • 妊娠性エプーリスの症例写真

    妊娠性エプーリス

    妊娠初期から中期に、歯肉にできる腫れもののことです。触ると痛かったり、出血したりしますが、ほとんどの場合で出産後に治ります。

Contents 03

妊娠中の歯科治療

妊娠中の歯科治療において気になる点を、項目ごとに説明いたします。
妊娠中は体調が不安定だったり、お子様への影響を考えて慎重になったりと、受診が遅れがちになります。
そのため、妊娠が分かったらすぐに歯の健康診断を受けることをおすすめします。
 ※当院はママさんスタッフも在籍していますので、お気軽にご相談ください。

  • カレンダーのイメージ
    Charm1

    治療できる
    期間

    妊娠中期(5~8ヶ月)であれば、ほとんどの方が問題なく歯科治療できます。妊娠初期と後期については、基本的に応急処置のみをおこなうようにしましょう。

  • 母子健康手帳とおくすり手帳のイメージ
    Charm2

    受診時に
    必要なもの

    通常の受診時に必要な「マイナンバーカード(保険証・医療証)」「診察券」など、いつも持って行くものに加えて、必ず「母子健康手帳」をご持参ください。手帳があれば、お口や全身の健康状態をお互いに把握しやすくなります。

  • 問診票記入のイメージ
    Charm3

    問診票

    妊娠後初めて受診する際には、問診票に「妊娠何ヶ月目(何週目)」「産婦人科の主治医」「歯科治療の希望」「現在のお体やお口の状態」などを、なるべく詳しく記入していただきます。

  • 初診カウンセリングの様子
    Charm4

    初診
    カウンセリング

    治療の前に行われるカウンセリングで、歯科医師にどのような症状にお悩みかを伝えてください。伺ったお話と、問診票の内容を鑑みた治療説明を医師がお伝えします。患者様が納得できた場合に治療を進めてまいりますので、安心してご来院いただけます。

  • 歯科用パノラマレントゲン装置
    Charm5

    X線撮影(レントゲン撮影)

    防護エプロンを着用し、腹部を遮断してX線撮影します。基本的には小さいデンタルフィルムですが、必要があれば全体を映すパノラマ写真を撮ります。歯科用レントゲンは医療用に比べて被

  • 歯科治療を受ける患者様の様子
    Charm6

    歯科治療

    妊娠中期であれば、ほとんどの歯科治療が可能です。ただし、妊娠中は抜歯しないことが多いので、抜歯が必要になった場合は医師とよく相談してください。
    また、お腹の張りがあって仰向けが難しい時には、スタッフに伝えてください。チェアをあまり倒さず治療が受けられるよう、対応いたします。

  • 歯科用麻酔器具のイメージ
    Charm7

    麻酔・投薬

    通常、局部麻酔になるので、通常量であれば母子ともにまったく影響はありません。当院では、麻酔時も痛みを与えないよう配慮いたします。
    また、妊娠中は原則投薬しません。痛みが酷い場合、投薬しないことが赤ちゃんに悪影響を与える可能性がある場合、産婦人科の先生と相談したうえで投薬するケースもあります。

  • 妊娠中の体調不良を感じる女性のイメージ
    Charm8

    立ちくらみ・頻尿・
    つわり

    妊娠中は急な姿勢の変化によって立ちくらみを起こしたり、トイレが近くなったり、つわりで嘔吐反射しやすくなったりします。チェアから立ち上がる時はゆっくり立ち上がるようにしましょう。つわりやトイレは我慢せず、治療中でも医師や衛生士にお伝えください。

Q&A
TOP
Q&A
TOP
web予約
Web予約
電話番号
電話
無料LINE相談
無料LINE相談