歯周病とは
※動画を再生するときは音量にご注意ください。
歯周病は歯を支えている歯茎や骨の病気で、世界一多い感染症です。悪化すると知らないうちに進行し顎の骨が溶け、歯が抜け落ちることまであります。最近は40歳以上の歯が抜ける原因の多くが歯周病となっています。歯周病の原因は歯と歯茎の隙間(歯周ポケット)に付着する細菌です。予防するには、正しい歯磨きと歯周病になっていないかを定期的に歯医者で診てもらうことが重要になります。
歯周病のポイント
顎の骨が溶ける病気
歯周病が悪化すると歯槽膿漏になり、さらに酷くなると顎の骨が溶け、歯が抜け落ちてしまいます。そうならない為にも歯周病になっていないか「早期で気づく」ことが重要です。
歯磨きだけでは治りません
歯周病予防において歯磨きは重要ですが、歯周病になってしまった場合は歯磨きだけでは治せません。その為、歯医者で適切な治療を受けてください。
自覚症状がないうちに進行していきます
歯周病初期は痛みなどの自覚症状がない場合が多く、進行すると痛みや腫れを伴う急性期と自覚症状のない慢性期を繰り返しながら進行していきます。
他の病気を引き起こす
歯周病が原因で他の病気になりやすくなります。糖尿病や高血圧、心臓病、脳血管疾患などが、主に挙げられます。
歯周病の種類
急性懐死性潰瘍性歯周炎
ひどい痛みや出血などを伴い、食事や歯磨きなどが痛くてできません。
早期発症型歯周炎
中学生や高校生の時から歯周炎が始まり高度に進行していきます。
急速進行性歯周炎
早期発症型歯周炎や若年性歯周炎から移行することもあります。歯周病の進行が早いのが特徴です。
歯性上顎洞炎
上の奥歯の感染が進行すると「上顎洞(上顎の鼻とつながる空間)」に炎症が波及することもあります。
漫画で分かる歯周病

※閲覧にはPDFソフトが必要です。お持ちでない方はAdobe Acrobat Reader DC(無料)からダウンロードしてください。
歯周病チェック
歯周病チェックリストをご紹介します。複数の項目が当てはまる方は、歯科医院でお口の中を診てもらうことをお勧めします。
また、歯周病の可能性がある症状もご紹介します。当てはまる項目が多いほど歯周病である可能性が高まります。歯周病は早期発見・早期治療、そして予防を心がける習慣が大切です。
当てはまる方を選択しよう
歯周病のよくある症状
- 痛みのない歯茎の腫れや出血(初期症状)
- 口の中に粘りを感じる
- 人から口臭を指摘される
- 歯の間に隙間ができ、食べかすが詰まりやすい
- 歯がしみたり、噛む時に痛みを感じる
- 歯がグラグラしたり、浮いた感じがする
- 歯が前よりも長くなったように見える
- 歯の隙間が広がったり、噛み合わせが乱れる
- 歯茎のかゆみや膿が出る
歯周病の進行別症状
健康な歯肉
健康な歯肉の特徴は「歯茎が綺麗でピンク色、ツヤがある、締まりがある、歯の間に隙間が無い」など。
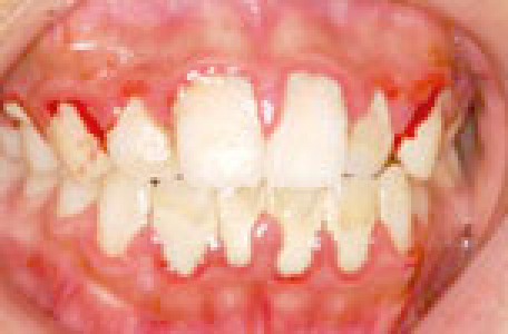
歯周病(軽度)
歯周病の進行が軽度の場合「歯茎に赤みがある、歯茎がブヨブヨしている、触ると出血する」などの症状が出てきます。
歯周病(中度)
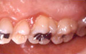
歯周病の進行が中度の場合「骨が溶けはじめる」などの症状が現れます。
歯周病(重度・末期)
歯周病の進行が重度・末期の場合「膿が出る、歯の隙間が広くなる、歯がグラグラになり抜けてしまう、噛み合わせが乱れる」などの症状が起きます。
※動画を再生するときは音量にご注意ください。
歯肉炎
健康な歯肉は薄いピンク色で引き締まっていますが、歯肉炎になると歯肉のみに炎症が起きます。歯周病の初期状態で歯周炎になる一歩手前の病気です。歯肉炎の原因は歯の表面についた細菌の塊である「歯垢(プラーク)」です。歯並びの悪い箇所は歯垢が溜まりやすいので注意が必要です。
歯肉炎の段階では自覚症状はほとんどないため多くの方が放置してしまいます。するとその細菌が歯と歯肉の間に入り込み歯肉の下にある「歯槽骨」と呼ばれる歯を支える骨を溶かすようになります。こうなる前に早期で発見して細菌を取り除かないと歯を抜け落ちてしまうのです。
歯肉炎の症状
- 歯肉が赤く腫れる
- 歯茎から出血しやすくなる
歯肉炎の種類
- お口の中の歯垢が原因の歯肉炎
- 妊娠に伴う女性ホルモンのバランス変化による歯肉炎
- 全身の因子や薬などが関係する歯肉炎
歯肉炎の治療&予防法
歯肉炎を予防には、毎日の歯ブラシによるブラッシング(プラークコントロール)が大切です。丁寧なブラッシングでお口の中のプラークを取り除きましょう。また、歯肉マッサージも効果的です。
それでも取り切れない歯垢や歯石は歯科医院で除去してもらいましょう。歯肉炎は早期発見で治療できれば健康なお口に戻すことが可能です。その為にも歯医者で定期検診を受けられることをお勧めします。
歯周病が
引き起こす病気
※動画を再生するときは音量にご注意ください。
最近の調査で歯周病の悪影響は歯や歯茎以外にも広がる可能性があり、身体の健康を損なう危険性が分かってきました。その為、歯や歯茎だけでなく身体の健康のために正しい歯磨きを覚えたり、歯医者での定期的なクリーニングを受ける必要性を考えてください。
心臓病
ノースカロライナ大学の研究によると、歯周病の方が心臓病(狭心症や心筋梗塞など)になる確率は歯周病でない方に比べて「1.5~3倍」。
早産
同じくノースカロライナ大学の研究で、歯周病の女性が低体重児を早産する確率は歯周病のない女性の「約7倍」。
糖尿病
糖尿病患者は歯周病菌の量が多いというデータが出ており、歯周病が糖尿病の合併症のひとつであることが分かってきました。実際に糖尿病患者さまの歯石を除去してからブラッシング指導をすると血糖値が下がることがあります。その為、生活習慣の改善のひとつとして口の中を綺麗にすることが重要になります。
※動画を再生するときは音量にご注意ください。
骨粗鬆症(こつそしょうしょう)
口の中の細菌と骨粗鬆症の因果関係も分かってきました。
※動画を再生するときは音量にご注意ください。
肺炎
高齢者の方が歯周病の原因菌を吸い込むと「誤嚥性肺炎」を引き起こしやすくなります。この肺炎は現在のところ死亡率の上位です。
※動画を再生するときは音量にご注意ください。
風邪・インフルエンザ
「歯周病が風邪やインフルエンザの原因?」と意外に思われるかもしれません。しかし、風邪やインフルエンザ、歯周病は、どれも細菌感染によって発症します。歯周病治療を受けることで、風邪の引きやすさ、インフルエンザ感染のリスクを抑える効果を期待できます。
※動画を再生するときは音量にご注意ください。
歯周病治療
まずはお口の検査をしてから適切な歯周病治療(歯石除去など)をおこないます。進行した歯周病については歯石を何回かに分けて取る必要があるので根気よく頑張りましょう。たとえ症状が落ち着いたとしても正しい歯磨きと歯医者での定期検診が必要になります。歯周病になられた方の歯磨きには問題のある場合が多いので歯科スタッフから専門的な指導があります。
※動画を再生するときは音量にご注意ください。
当院の歯周病治療
当院では、院長をはじめ勤務2年目以上の歯科衛生士は全員、ぺリオと補綴のスペシャリスト研修機関「JIADS(ジアズ)」の歯周補綴コース、ハイジニストコースの研修を受け、知識や技術を高めています。
当院の歯周病治療の流れ
診査診断:歯周ポケットの検査、レントゲンなど
最初にモニターでご自身のお口を実際に見てもらい、歯の汚れや歯肉の腫れなどを確認してもらいます。次に歯と歯茎の間の溝の深さをプローブと言う器具で測ります。2mm以下が健康な状態。3~4mmなら少しの努力で良くなることが多いでしょう。5mm以上の場合はかなりの努力が必要になります。深さを測る時にグラグラする歯があるかも調べます。
悪化している箇所があればレントゲン検査をします。状態によっては大きなレントゲンでお口全体を検査することもあります。
初期治療:歯磨き指導、歯石除去、噛み合わせの調整など
歯周病治療は歯石などの汚れを効率良く除去し、歯をクリーニングをする事が基本となります。そして、なぜ歯周病になったのかを一緒に考えて、改善することが大切です。お口が綺麗になっても今までの歯のメンテナンス方法では今まで同じように歯が汚れてしまうでしょう。そこで、歯をできるだけ綺麗な状態で保てるよう、その方にあった歯ブラシ(人によっては歯間ブラシなども)の選び方や使い方が重要になってきます。これは患者さまの歯周ポケットの深さや歯並びによって指導方法が変わってきます。
実際に医院で歯磨き指導をした後、患者さまにその場で磨いてもらいます。もし磨き残しがあれば歯科衛生士が磨き、正しい歯ブラシの当て方を覚えて帰ってもらいます。このようにして、お口の中の細菌の数を減らし、できるだけ清潔な環境を整えることが歯周病治療の基本となります。
再評価:治り具合の検査、必要であれば外科的治療(重傷の場合)
定期検診:3~6カ月ごと。※歯周病の進行度によって期間は変わってきます。
正しい歯磨きの仕方で磨いても、3ヶ月くらいすると歯ブラシが届きにくい箇所にバイオフィルムという細菌の塊がついたり、歯磨きを怠った場合は歯石や歯垢が付いていた元の状態に戻ってしまいます。それを防ぐために歯医者で定期検診を受けて、歯をクリーニングしてもらうことが歯周病予防にとって重要になってきます。
歯周病の初期治療
初期治療は歯科衛生士がブラッシング指導などを担当します。軽度から中程度に歯周病が進行している患者さまは、麻酔を用いて痛くないように歯茎の中の歯石や細菌を徹底的に除去します。この方法で多くの方は改善されますが高度に進行している方の中には歯周外科手術が必要な方もいらっしゃいます。
歯周病の再生治療
歯周病で失われた歯槽骨はもう2度と元に戻らないのでしょうか?実はお口の状態によっては「エムドゲイン」「GTR法」などと呼ばれる再生療法で元に戻すことができます。再生療法が可能かどうかは患者さまのお口の状態によりますので、まずはご相談ください。
ブルーラジカル治療
※動画を再生するときは音量にご注意ください。
※動画を再生するときは音量にご注意ください。
歯周病予防
※動画を再生するときは音量にご注意ください。
歯周病を防ぐには歯垢や歯石をこまめに取ることが大切です。その為には「家での正しい歯磨き」と「歯医者のプロによる定期検診」を両方おこなうことが重要です。日頃の予防が、ご飯を美味しく食べれる幸せな未来につながるので、歯の汚れが気になる方は当院にご相談ください。
歯周病資料PDF
※閲覧にはPDFソフトが必要です。お持ちでない方はAdobe Acrobat Reader DC(無料)からダウンロードしてください。